Há mais de 15 anos transformando sorrisos
Cuide da sua saúde bucal com quem entende do assunto
Agendar consulta

Sobre Nós
Aqui na nossa clínica dentária, estamos comprometidos em fornecer tratamentos odontológicos de alta qualidade para toda a família. Desde limpezas e check-ups regulares até procedimentos mais complexos, nossos dentistas experientes estão prontos para cuidar de você e da sua saúde bucal.
Nossos Serviços
Cuidando de toda sua saúde bucal

Placa de BruxismoResolva problemas dentários de forma segura

Limpeza dentalMantenha sua saúde bucal em dia

Aparelhos Ortodônticos Fixo e RemovívelRecupere seu sorriso por completo

InvisalignTransforme seu sorriso com tratamentos personalizados

Aparelhos Ortopédicos para criançasCuide da saúde bucal dos pequenos desde cedo

ClareamentoCuide da saúde bucal dos pequenos desde cedo

Toxina Botulínica Preventiva e FuncionalAplicação de Botox para prevenção e tratamento
Fale conosco
Você pode agendar sua consulta:
Pelo telefone: (19) 97160-2146
Ou pelo WhatsApp: (19) 97160-2146
O que nossos clientes dizem
"Eu tinha muito medo de ir ao dentista, mas depois de conhecer a Dra. Gabriela, esse medo desapareceu. Ela é muito atenciosa e cuidadosa, explicando cada procedimento com detalhes. Recomendo!"
"Fui atendido pela Dra Gabriela para fazer um tratamento com Invisalign e fiquei muito satisfeito com o resultado. Ela é muito experiente e profissional, tornando todo o processo muito tranquilo."
"Minha filha foi atendida pela Dra. Gabriela e adorou a consulta! Ela é muito carinhosa e atenciosa com as crianças, tornando o tratamento odontológico uma experiência agradável."

Pacientes
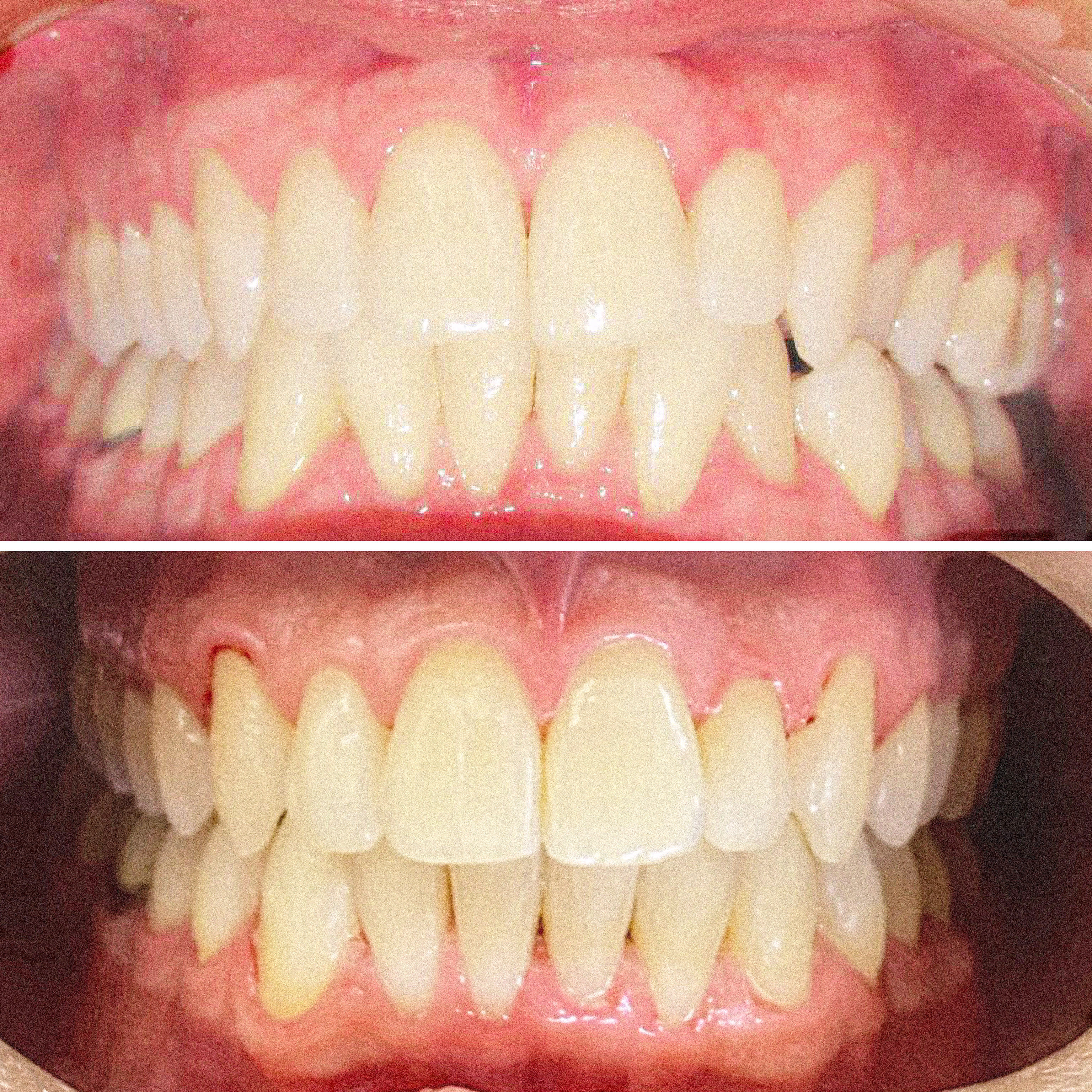
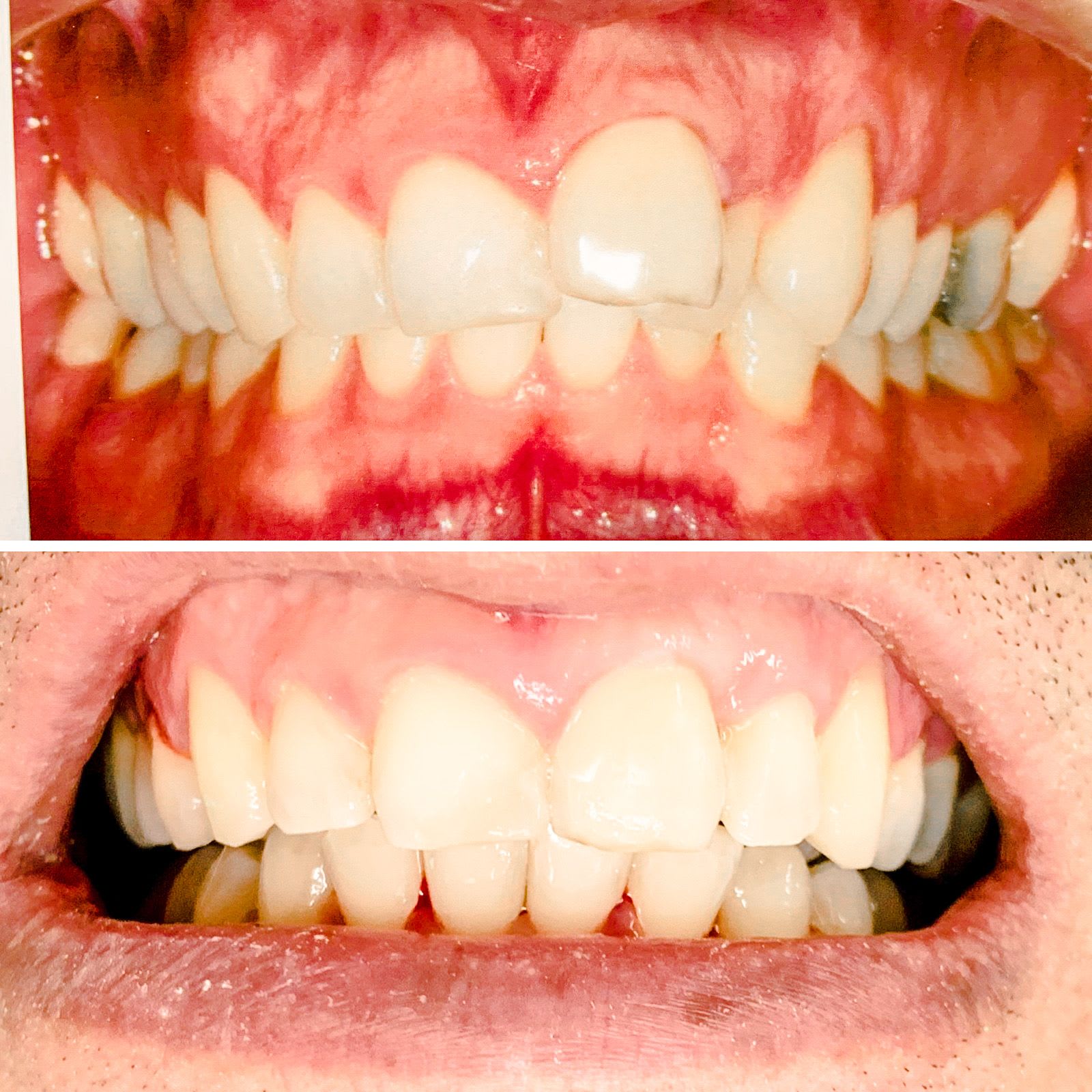
Galeria
Confira nossa galeria de fotos e veja como transformamos sorrisos, promovendo saúde e bem-estar aos nossos pacientes.
Entre em contato
Buscamos sempre as melhores alternativas de tratamento, com qualidade, honestidade e respeito aos nossos clientes.
- Rua Vital Brasil, 732 - Jd Girassol, Americana - SP
Horário de atendimento
Segunda-Feira 13:00 às 18:00 Terça-Feira 13:00 às 18:00 Quarta-Feira 13:00 às 18:00 Quinta-Feira 13:00 às 18:00 Sexta-Feira 08:00 às 12:00